1. kinghamada

    kinghamada Guest

    This are the investigations needed to reach diagnosis in a case of
    bronchogenic carcinoma
    , and its differential diagnosis (DDx) .
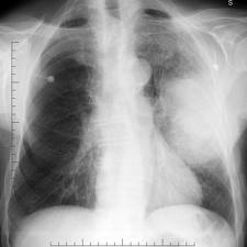
    Bronchogenic-carcinoma-x-ray.jpg Investigations

    X- ray
    shows :
    - Coin shadow - Cavity, collapse.
    - Mediastinum mass - Diaphragmatic paralysis
    - Effusion - Rib erosion

    CT
    scan chest
    Sputum
    examination (cytology) for malignant cells, this may be helpful in patients who are not fit for bronchoscopy.
    Bronchoscopy
    : biopsy and bronchial brush samples, also it can assess the proximity of central tumours to the main carina.
    L. N biopsy
    from scalene pad of fat .
    Mediastinoscopy
    ( for local extension)
    Pleural biopsy
    in patients with pleural effusion.

    • If bronchoscopy fails to obtain a cytological diagnosis,
    percutaneous needle biopsy under CT
    guidance may be helpful in patients with peripheral tumours.
    • Laboratory investigations for paramaliganant syndrome .
    Differential diagnosis of bronchogenic carcinoma